Especialistas en Comunicación Humana, Neurología, Psiquiatría, Psicología y Otorrinolaringología del Instituto Mexicano del Seguro Social (IMSS) alertan que las primeras palabras de un infante deben iniciar alrededor del año, cuando empiecen los primeros pasos. Al año y medio, niñas y niños son capaces de pronunciar más de 15 palabras intencionadas y dirigidas …
LEER MÁSSALUD
¿Es malo tronarse los dedos?
Las personas suelen tronarse los dedos cuando se sienten estresadas, preocupadas o sólo por simple gusto, ya que aparentemente no implica ningún riesgo, pero a largo plazo puede ocasionar hasta deformidad de los dedos. La mano está formada por 27 huesos, y los dedos tienen dos articulaciones interfalángicas, distal y …
LEER MÁSEn promedio, una mujer violentada toma siete años en liberarse del agresor: expertos
El que el 68 por ciento de las mujeres mexicanas de 15 años o más experimentó actitudes violentas en una relación de pareja, representa un problema social y de salud pública en el país, señala Noemí Díaz Marroquín, académica de la Facultad de Psicología(FP) de la UNAM. En la relación …
LEER MÁS¿Eres enfermera o enfermero? Lanzan convocatoria para trabajar en Alemania
CIUDAD DE MÉXICO La Secretaría del Trabajo y Previsión Social (STPS) a través del Servicio Nacional de Empleo, dio a conocer el programa de reclutamiento para enfermeras y enfermeros interesados en trabajar en Alemania con un salario de hasta 2,500 euros mensuales. Oswaldo Muñoz Oscós, coordinador General del SNE, señaló …
LEER MÁSNiña sufre terrible reacción alérgica al jugar con maquillaje
Cada día el uso del maquillaje es más común verlo en el rostro de mujeres muy jóvenes e incluso niñas que comienzan en este mundo a una edad muy temprana, ya sea por el interés de verse como su madre o mujeres mayores. Sin embargo ahora una madre de familia …
LEER MÁSRetiran del estómago de un hombre, más de 30 artículos de metal
Extraen del estómago de un hombre 40 objetos, entre estos, varios artículos de metal; los doctores aseguran nunca haber encontrado un caso similar. El cubano de 32 años, llamado Leosbani padece según informa Sin Embargo, “retraso mental severo”, fue sometido a varios exámenes médicos, tras que sus familiares refirieran una …
LEER MÁS¿Sabes cuantas calorías tiene la comida rápida?
La comida rápida ha cobrado gran auge en la sociedad mexicana, por su facilidad en adquirirla y su bajo costo, sin embargo; todos sabemos que consumirla en demasiado es dañino para la salud, por lo que Grupo Fórmula te presenta la cantidad de calorías que consumirías con estos alimentos. 1. …
LEER MÁSLas cucarachas y los camarones son… ¿prácticamente lo mismo?
CIUDAD DE MÉXICO. Los camarones, también llamados “carideos”, son crustáceos de agua dulce o salada. Su densidad poblacional es masiva, como la de las cucarachas, y tan sólo en el Océano Pacífico hay aproximadamente doscientas cuarenta especies. Los camarones miden entre 2 y 35 milímetros, son de cuerpo cilíndrico y su …
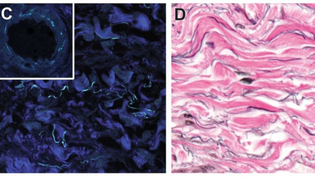
LEER MÁSUn accidente de la ciencia: descubren el “nuevo órgano” del cuerpo humano
De acuerdo con la BBC, los expertos que lo descubrieron lo definen como “una nueva expansión y especificación del concepto del intersticio humano”, algo que en biología se refiere al espacio entre las células y los tejidos del organismo. “El intersticio” podría ser uno de los órganos más grandes, junto …
LEER MÁSCómo saber si la playa que visitas estas vacaciones está limpia
CIUDAD DE MÉXICO.- Ante el inicio de las vacaciones de Semana Santa, la Comisión Federal para la Protección contra Riesgos Sanitarios (Cofepris) dio a conocer que las 267 playas de los principales destinos turísticos de México son aptas para el uso recreativo. En estrecha coordinación con autoridades del Sistema Federal …
LEER MÁS
Yucatán al Instante Noticias al Instante