Sin especificar a qué inmueble entró sola Debanhi Escobar, su padre, el señor Mario, confirmó que les fueron mostrados los videos que forman parte de la carpeta de investigación, misma que ya está en poder de la Fiscalía de Feminicidios. En Nuevo León, el gobernador Samuel García y los padres …
LEER MÁSMafian TV sale del país tras investigar caso de Debanhi Escobar; teme por su seguridad
Fabián Pasos, periodista del medio Mafian TV, huyó de México tras investigar el caso de Debanhi Escobar, la joven hallada muerta a 13 días de su desaparición. Fabián Pasos, periodista del medio Mafian TV, sale del país tras investigar el caso de Debanhi Escobar, la joven hallada muerta en Nuevo …
LEER MÁSHoy darán el último adiós a Debanhi en el municipio de Galeana
La noche y madrugada de este sábado, el cuerpo de la joven Debanhi Susana Escobar Bazaldúa ha sido velado en las Capillas del Carmen en la ciudad de Monterrey, luego de hallarla sin vida dentro de una cisterna en un motel del municipio de Escobedo. Hoy a las 8:00 de …
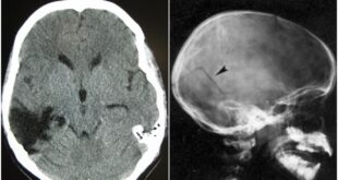
LEER MÁS¿Qué es una contusión profunda de cráneo, la causa del fallecimiento de Debanhi Escobar?
La Fiscalía de Nuevo León reveló la causa de la muerte de la joven El fiscal de Nuevo León, Gustavo Adolfo Guerrero Gutiérrez, informó la tarde del viernes 22 de abril que la causa de la muerte de Debanhi Escobar, de 18 años, fue una contusión profunda de cráneo. Te …
LEER MÁS“No haber encontrado el cuerpo de Debanhi fue una falla humana masiva”: secretario de Seguridad
Añadió que no es la primera vez que pasa una falla de inteligencia en algún operativo de búsqueda en el mundo El secretario estatal de Seguridad de Nuevo León, Aldo Fasci Zuazua, afirmó que no encontrar a Debanhi tras cuatro revisiones al Hotel Nueva Castilla “fue una falla humana masiva”. …
LEER MÁSMuerte de Debanhi Escobar: su papá acusa a taxista de acosarla sexualmente
El padre de Debanhi Escobar dio a conocer que el taxista ya declaró; sin embargo, hay inconsistencias.Mario Escobar, papá de Debanhi Susana, acusó públicamente al taxista encargado de llevarla a su casa, luego de informar que en un video se vio cómo el conductor intentó acosarla.”Debanhi se enojó porque la …
LEER MÁSIdentifican cuerpo de Debanhi por un crucifijo que llevaba puesto
En caso de ser necesario las investigaciones serían atraídas por el Gobierno Federal, señaló el subsecretario de Seguridad Pública, Ricardo Mejía. El subsecretario de Seguridad Pública, Ricardo Mejía, dijo que el cuerpo que fue hallado estaba en una cisterna de 4 metros de profundidad, los empleados fueron quienes alertaron del …
LEER MÁSDebanhi Escobar: la ruta que recorrió la joven de 18 años antes de su misteriosa desaparición en México
Debanhi Escobar desapareció sin dejar rastro el pasado 9 de abril tras asistir a una fiesta en Nuevo León. Sus padres mantienen la esperanza de encontrarla con vida La búsqueda de Debanhi Susana Escobar Bazaldúa, la joven de 18 años de edad que está desaparecida desde el sábado 9 de …
LEER MÁSSigue búsqueda de Debanhi en NL; desazolvan pozo
Autoridades de Nuevo León catearon un predio con un pozo cerca de donde fue vista por última vez la joven Debanhi, sin embargo, no se encontró nada. Luego de tres horas de inspección en un predio contiguo al Motel Nueva Castilla y de haber buscado pistas en una cisterna, en …
LEER MÁSDebanhi Escobar habría ingresado a una empresa de transporte, según muestra un video
Las imágenes son posteriores a la fotografía que se viralizó en redes sociales, en la cual se muestra a la joven parada sobre un camellón luego de que se bajara de un taxi por aplicación. Ciudad de México, 18 de abril .- Cámaras de seguridad captaron a Debanhi Escobar, la …
LEER MÁS
Yucatán al Instante Noticias al Instante