sábado , abril 18 2026
Inicio / Global / Piden notificar casos de viruela del mono que se detecten en México

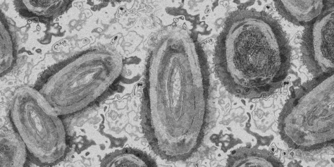
Piden notificar casos de viruela del mono que se detecten en México

El Sistema Nacional para la Vigilancia Epidemiológica emitió un aviso epidemiológico con el objetivo de que todas las unidades médicas notifiquen los casos que detecten

Ante la alerta de la Organización Mundial de la Salud (OMS) por el registro de más de 250 casos sospechosos y confirmados de viruela del mono en diversos países, el Sistema Nacional para la Vigilancia Epidemiológica (Sinave), emitió un aviso epidemiológico con el objetivo de que todas las unidades médicas del país-públicas o privadas- notifiquen los casos que detecten.

Al aclarar que hasta el momento no se ha identificado ningún contagio en México, la dependencia señaló que no se trata de una enfermedad de trasmisión sexual y reiteró que para la viruela símica no existe tratamiento ni vacuna específica.

Además, enfatizó que “no se recomiendan las restricciones a viajes internacionales ni al comercio desde países donde se hayan identificado casos”.

DETECCIÓN DE CASOS

El Sinave enfatizó que un caso confirmado de viruela símica será el que resulte positivo en una prueba de PCR en tiempo real (rt-PCR) o mediante una secuenciación realizada por el  Instituto de Diagnóstico y Referencia Epidemiológicos (InDRE).

Informó que debe considerarse como caso sospechoso “toda persona, de cualquier edad, con una erupción cutánea o de mucosas, aguda inexplicable que progresa desde la cara con extensión al resto del cuerpo” y que presente uno o más de los siguientes síntomas: dolor de cabeza, fiebre, linfadenopatía, mialgias, lumbalgia y astenia.

Será considerado un caso probable – quien  21 días previos al inicio de los síntomas-, haya tenido un vínculo epidemiológico como la exposición física directa con un caso confirmado o probable en el que existió contacto con la piel, lesiones cutáneas, contacto sexual o antecedente de viaje a un país endémico de esta enfermedad.

El Sinave detalló que no se pueden considerar casos sospechosos quienes presenten exantema agudo y han sido diagnosticados con bases clínicas con “varicela zoster, herpes zoster, herpes simple, sarampión, enfermedad por virus zika, dengue, fiebre chikungunya, infecciones bacterianas de la piel, infección por gonococos diseminados, sífilis primaria o secundaria, chancroide, linfogranuloma venéreo, granuloma inguinal, molusco contagioso, urticaria alérgica y cualquier otra causa común de erupción macular o papular o vesicular”. Información Excelsior.com.mx

Únete a nuestro grupo de Telegram y mantente bien informado con las noticias que acontecen en Yucatán, México y el Mundo…

https://t.me/Yucatanalinstante

Compartir en:

Check Also

Detectan seis casos de viruela símica en Yucatán 

MÉRIDA, Yuc., 30 de junio 2025.- La Secretaría de Salud Federal reportó que en Yucatán …

Deja un comentario