viernes , abril 17 2026
Inicio / Global / Por tres meses bebé tuvo atorado en el esófago un gancho para cerrar bolsas plásticas

Por tres meses bebé tuvo atorado en el esófago un gancho para cerrar bolsas plásticas

Los médicos alertaron a los padres de familia sobre la vigilancia de los niños y los objetos que pueden meter a su boca, como el gancho para cerrar bolsas

Cuando los padres de una bebé de 10 meses de edad llevaron a su hija al médico tras no presentar mejoría por una supuesta infección estomacal, nunca pensaron que la fiebre y los constantes vómitos de la menor se debían a un gancho de metal plastificado que se había atorado en su esófago.

Este extraño suceso ocurrió en Estados Unidos, donde la menor fue llevada a urgencias médicas del hospital luego de que la pequeña presentara un ataque de convulsiones.

Al arribar los papás de la niña revelaron que la bebé ya había estado enferma, y que dos meses antes empezó a tener fiebres de hasta 38,9 grados centígrados, así como a sufrir vómitos, atragantamientos y a mostrar aversión a los alimentos sólidos.

De acuerdo con los tutores, la infante fue llevada al pediatra quien diagnosticó una infección estomacal, puesto que había perdió más de 500 gramos.

Los investigadores de la Escuela de Medicina de la Universidad de Colorado le realizaron pruebas sanguíneas que mostraron indicios de una infección y tras realizarle una tomografía computarizada, se revelaron seis lesiones cerebrales, la mayor de las cuales de 4 centímetros de diámetro.

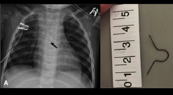
Además durante el escáner se descubrió un objeto metálico alojado dentro de su esófago, el cual resultó ser un gancho metálico decorativo, con el que generalmente se cierran las bolsas de plástico para pan.

El gancho se clavó en el esófago, provocando una infección que se propagó hacia el cerebro y llegó a causarle convulsiones a la pequeña, según un informe médico publicado en The Journal of Emergency Medicine.

Los médicos administraron antibióticos y realizaron una cirugía cerebral para drenar el líquido de algunos de los abscesos, así como el cuerpo ajeno.

Tras la operación la niña fue trasladada a cuidados intensivos pediátricos, donde fue alimentada mediante un tubo nasal durante una semana, hasta que el esófago se curó y pudo empezar a alimentarse normalmente.

Tras recibir el alta, la niña continuó el curso de antibióticos y actualmente ya no presenta complicaciones neurológicas y crece siguiendo las fases normales de desarrollo infantil.

Los investigadores esperan que los síntomas descritos en su informe ayuden a la detección temprana de objetos ajenos en el cuerpo.

«La detección y retirada temprana de cuerpos ajenos es esencial para la prevención de complicaciones subsecuentes», indican los médicos en su informe. Información pacozea

Compartir en:

Check Also

¿Quién apadrinó fiesta de XV años en Tabasco con Belinda y J Balvin? Esto sabemos del funcionario involucrado

Marcos Torres Fuentes es un directivo de alto nivel en Pemex especializado en exploración y …

Deja un comentario